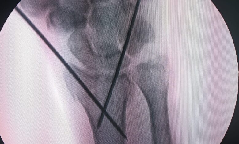
सी-आर्म मशीन की सहायता से किया सफल ऑपरेशन

राजगढ़
सिविल सर्जन सह मुख्य अस्पताल अधीक्षक राजगढ़ डॉ. राजनीश शर्मा द्वारा बताया गया कि जिला चिकित्सालय राजगढ़ में आधुनिक चिकित्सा सुविधाओं की दिशा में एक महत्वपूर्ण कदत उठाते हुए सी-आर्म मशीन की मदद से सफल सर्जरी की गई। यह सर्जरी नरसिंहगढ़ तहसील निवासी श्री रामबाबू उम्र 65 वर्ष पर की गई। जिसकी हाथ की कलाई में फैक्चर था। जानकारी के अनुसार श्री रामबाबू को बुधवार को जिला चिकित्सालय में भर्ती कराया गया था। जहां जांच के बाद डॉक्टरों ने उनकी कलाई की हडडी में फेक्चर पाया और सर्जरी का निर्णय लिया। जिसके बाद शुक्रवार को ऑर्थोपेडिक सर्जन डॉ. अदित अग्रवाल ने सी-आर्म मशीन की सहायता से सफल ऑपरेशन किया।
क्या है सी-आर्म मशीन :- सी-आर्म मशीन एक अधुनिक एक्सरे इमेजिंग तकनीक है। जिससे ऑपरेशन के बीच में हडडियों की स्थिति को लाइव देखा जा सकता है। इससे सर्जरी अधिक सटीक और सुरक्षित हो जाती है। इस तकनीक के उपयोग से डॉक्टरों को ऑपरेशन के दौरान बार-बार एक्सरे लेने की जरूरत नहीं पड़ती और मरीज को भी कम जोखित रहता है। ऑर्थोपेडिक सर्जन डॉ. अग्रवाल ने बताया कि इस मशीन की मदद से ऑपरेशन के दौरान हड्डी की सही स्थिति का तुरंत पता चल जाता है। जिससे बेहतर परिणाम मिलते है। उन्होंने कहा कि जिला चिकित्सालय में इस तरह की सुविधा उपलब्ध होने से क्षेत्र के मरीजों के लिए बड़ी राहत की बात है। आगामी समय में और भी जटिल ऑपरेशन आसानी से किये जा सकेंगे। जिला चिकित्सालय में बड़ी संख्या में फैक्चर के मरीज इलाज कराने पहुंचते है। जिसमें से अधिकांश मरीजों को रेफर करना पड़ता है। लेकिन अब सी-आर्म मशीन की सहायता से जटिल ऑपरेशन भी जिला अस्पताल में किये जा सकेंगे


